Are Your Teeth Trivia-Ready? Take the Ultimate Dental Quiz!
Which age group is most at risk for developing wisdom teeth problems?

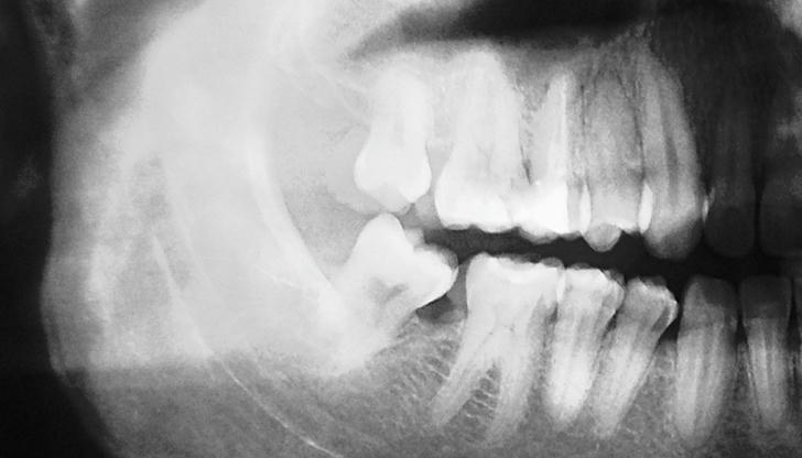
Correct Incorrect Wisdom teeth typically emerge in the late teens or early twenties, often causing impaction or crowding due to limited jaw space.